Cabinet dentaire du Dr Vincent DENIZART
Cabinet dentaire des Docteurs Denizart et Dreistadt. Chirurgiens-Dentistes à Vic Sur Seille
23 avenue du Général de Gaulle Maison de santé, 57630 Vic sur Seille
+33 3 87 01 13 88
Cabinet dentaire du Dr Vincent DENIZART
Cabinet dentaire des Docteurs Denizart et Dreistadt. Chirurgiens-Dentistes à Vic Sur Seille

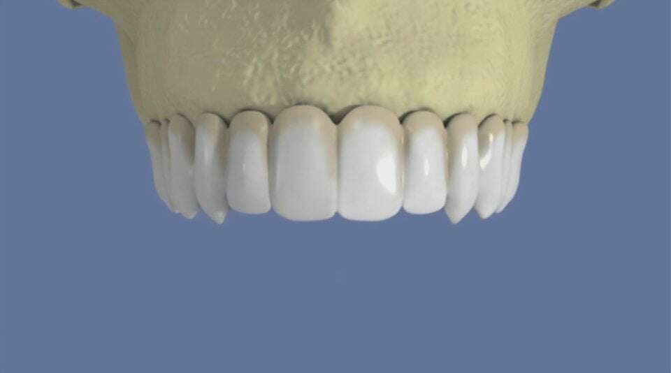
Maxillaire : bridge vissé sans fausse gencive


video-play-icon

Articles similaires

Création par Webdentiste

Connexion